فوائد زراعة الأسنان: استعادة الوظيفة
فقدان أحد الأسنان يمكن أن يؤثر بشكل كبير ليس فقط…
نجمع بين عقود من الخبرة الموثوقة وأحدث التقنيات لنقدم رعاية أسنان شاملة لك ولجميع أفراد عائلتك
هاتف: 920010617 966+
واتساب: 533844432 966+
السبت – الأربعاء: 9:30 صباحًا – 9:00 مساءً
الخميس: 9:30 صباحًا – 8:00 مساءً
منذ عام 1998، تعد عيادة البسمة الدائمة اسماً موثوقاً في الرياض، حيث نمزج بين عقود من الخبرة ورعاية استثنائية لضمان أن يغادر كل مريض بابتسامة واثقة.
نجمع بين خبرة 25 عامًا وأحدث التقنيات لنقدم لكم رعاية أسنان استثنائية وشاملة.
احمِ أسنانك للمستقبل مع خدماتنا الوقائية، التي تشمل المواد السادة للشقوق وعلاجات الفلورايد لتقوية مينا الأسنان.
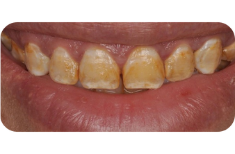
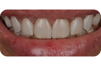
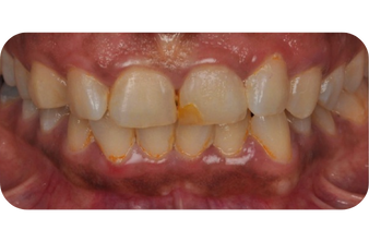
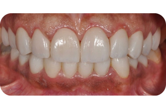
احصل على ابتسامة أحلامك من خلال مجموعتنا الواسعة من الحلول التجميلية، بدءًا من تبييض الأسنان الاحترافي ووصولًا إلى قشور الفينير المصممة خصيصًا لك.
الفحوصات المنتظمة والتنظيف الاحترافي هما أساس الابتسامة الصحية، حيث يساعدان على منع التسوس وأمراض اللثة.
بداية من الفحوصات الدورية وحتى تصميم الابتسامة الكامل، نقدم مجموعة متكاملة من خدمات طب الأسنان.
منذ عام 1998، بنينا إرثاً موثوقاً من التميّز في طب الأسنان بالرياض.
بفخر، قدّمنا خدماتنا لأكثر من 24,000 مريض، واعتبرنا كل واحد منهم جزءاً من عائلتنا.
يضم فريقنا أكثر من 9 أطباء أسنان واستشاريين متخصصين، يكرّس كل منهم جهوده لتحقيق التميز.
نحن ملتزمون بتقديم رعاية استثنائية، لضمان أن تكون كل ابتسامة صحية وواثقة.
على مدار أكثر من 25 عامًا، جمعنا بين الخبرة والشغف لنقدّم نتائج استثنائية تدوم طويلاً.
فريقنا من الأطباء المتخصصين يقدم لك خلاصة عقود من الخبرة في رعايتك.
نستمع بعناية لاحتياجاتك لنصمم لك رحلة علاج شخصية مخصصة لابتسامتك.
استثمارنا في التقنيات المتقدمة يضمن لك علاجًا أكثر دقة وراحة.
في حالات الطوارئ، فريقنا جاهز دائمًا لتقديم رعاية فورية وعاجلة لك.
ثقة مرضانا هي إنجازنا الأكبر، وتنعكس بوضوح في تقييماتنا العالية.
نجعل الرعاية متاحة للجميع، عبر قبولنا لكبرى شركات التأمين وخطط الدفع.




نؤمن بأن تجربتك العلاجية يجب أن تكون واضحة، مريحة، ونتائجها متوقعة. إليك نظرة على خطواتنا المبسطة، المصممة مع وضع راحتك ورعايتك في المقام الأول.
تبدأ رحلتك باستشارة شاملة. نستمع إلى مخاوفك، ونجري فحصًا دقيقًا، ونستخدم أحدث وسائل التشخيص لفهم احتياجاتك الفريدة.
بناءً على استشارتك، نقوم بتصميم خطة علاج واضحة ومفصلة. نناقش معك كل الخيارات المتاحة، والجداول الزمنية، والتكاليف لمساعدتك في اتخاذ قرار مستنير.
يقوم أطباؤنا الخبراء بتنفيذ علاجك بأعلى مستويات الدقة والرعاية باستخدام أحدث التقنيات، لتحصل على الابتسامة الصحية والجميلة التي تستحقها.
لأكثر من 25 عامًا، يصنع فريقنا الخبير ابتسامات صحية تدوم مدى الحياة بكل شغف.
لالتزامنا بتقديم رعاية استثنائية
تقييم من مراجعات جوجل
زرنا العديد من أطباء أسنان الأطفال قبل أن نعثر على هذه العيادة. أفضل طبيب أسنان للأطفال يعمل هنا، الدكتور عدنان. شكرًا جزيلًا على عملك الرائع مع ابنتي! ❤️
تصفح مقالاتنا للحصول على نصائح الخبراء، وأحدث الرؤى في عالم طب الأسنان، وإرشادات عملية للحفاظ على صحة فم مثالية.
يعتقد الكثيرون أن تنظيف الأسنان بالفرشاة مرتين يوميًا كافٍ للحفاظ…
يمثل تنظيف الأسنان بالفرشاة واستخدام الخيط حجر الزاوية في نظافة…
جميع الحقوق محفوظة © 2025 لـشركة مجمع البسمة الدائمة لطب الأسنان. | تصميم وتطوير: MRezk